審美的な歯科治療~白いつめもの、かぶせもの~
白いかぶせができましたが、白い部分がプラスチックの為に経年変化で黄色く変色したり、歯ぐきとの境目が黒い筋になって目立ってしまうことが多く、とても見苦しいものでした。
最近では前歯はもちろん奥歯にも白い詰めものやかぶせを求める方が増えてきています。
当院ではそのような患者様の要望にお答えするために審美歯科治療にも力を入れて取り組んでおります。
金属を使わない治療もできますのでアレルギーの心配も少なくなります。
どうぞ御相談ください。
■前歯について
前歯の白いつめもの、かぶせもの
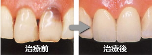
前歯2本がむし歯と以前治療をした部分が古くなって、非常に見た目が悪くなっています。 すき間も気になりますね。

すき間もなくなり、とてもキレイになりました。
■奥歯について
1.奥歯の白いつめもの
奥歯に金属の小さな詰め物。大きな口をあけると気になります。

自分の歯に合った色合いでとても自然になりました。
2.奥歯の白いかぶせもの
右奥歯に金属のかぶせと金属の小さな詰め物。最近は奥歯の見た目も気にする人が増えています。

自分の歯に合った色合いでとても自然になりました。
■歯ぐきの黒ずみについて
最新のレーザーの器械を導入しました。歯ぐきの黒ずみも痛みなく治せるようになりました。
床矯正
お母さんたちと一緒に歩む治療です。かむことの大切さを改めて教えてくれます。






