笑顔があればあなたの人生変わります
ホワイトニングを始めませんか?
~お肌だけでなく、大切な歯も白く~
どなたでも年齢と共に歯の自然着色が始まります。
色の強い飲食物(コーヒー・お茶・ジュース・コーラ・タバコ等)による事もあります。
これらの着色は、あなたのお顔の印象を大きく左右します。
白い肌が素敵なように、白い歯の笑顔はあなたの人生を輝かせることでしょう。
■ホワイトニングとは
歯科医師の指導を受けながら、歯を削ることなく白くする方法です。
歯科クリニックで行うオフィスホワイトニングと家で行うホームホワイトニングがあります。
■オフィスホワイトニング
歯科医師の指導を受けながら、歯を削ることなく白くする方法です。
当院の薬はまったくしみることなく、歯肉にも影響は与えませんので、安心してレーザーホワイトニングができます。
院長もやっています。
■ホームホワイトニング
ひとりひとり、自分の歯型にあったトレー(薄く、柔らかいマウスピース)を作ります。
そのトレーの中に薬剤(ホワイトニングジェル)を注入し、家にいる都合のいい時間に歯に装着します。
通常、 2~3週間ほど使用します。

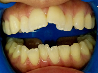
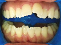
【治療例】

当院は ATDjapanの会員になっております
左:パピヨン 右:レーザー機器
スーパーホワイトニング
我々プロにおまかせください!
一緒にきれいなお口の中を維持していきましょう。
輝く白い歯で最高の笑顔、手に入れませんか?
内容
ホワイトニング用のお薬を歯に塗って、専用の光を当てて歯を白くします。
光を当てる回数によってコースが分かれます。光を多くあてる方が効果が強くなります。
今回のスーパーホワイトニングのお薬は、「白い!早い!美しい!」さらにツルツルになり、気持ちーぃ!!
まったく痛みはありません。安心です。
ホワイトニング照射・・・・2×2回分 少し日にちを空けて より美しく!
施術本数・・・・お口の中、見えるところすべて(上も下も含めて) 25,000円(税別)
<特典>
半年以内の治療は、5,000円引き!!
※ほかのコースもありますよ!ご相談くださいね。
「透明感のある白さに満足しました。つるつるの歯に驚きです!

歯並びが悪いのですが、あまり気にしていませんでした。
他の歯科医院では矯正を薦められることが多かったのですが 大野先生は無理強いはせず
「自分が気にならないならいいんじゃない」と言ってくださり、気持ちが軽くなりました。
でも歯並びが悪いとむし歯になりやすいからメンテナンスはした方がいいということで毎月クリーニングに通っています。

おかげで、この歯並びでも むし歯はゼロ!歯ぐきも健康です。
ただ、クリーニングでは歯の白さには限界があり、ホワイトニングに興味を持ちました。
ホワイトニングは「痛い、熱い」などと友達から聞いていたので、怖かったのですが、「このホワイトニングは全然染みないよ、安心してね」
という大野先生の言葉を信じ、挑戦してみることにしました。
ホワイトニング中は全く痛くなく、うとうとしてしまいました。

歯の表面が、かなりつるつるになって、まず驚きました。鏡を見て、さらにびっくり!
歯が、白くキレイに光っていました。
ホワイトニングをする前とした後の画像を携帯に保存して、友達に見せました。
顔も明るくなったんじゃない?と言われました♪
中国からの患者さまで 帰国までの間に全部きれいになおしました。

青い光の下でやっているのはスーパーホワイトニングです 。
とても白く綺麗になって喜んで中国へ帰国されました。
パタカラ
朝、目覚めると口の中が乾いていませんか?
自宅や外出先でひとりで手軽に行える口唇筋力トレーナー パタカラ は、唇のトレーニングであなたの身体をより健康にするお手伝いをします。
■いびき
「口輪筋 ( こうりんきん ) 」はくちびるのまわりの筋肉。歳をとると、口角が下がってくるのは、加齢による老化のせいで口輪筋の力が低下するためです。この「口輪筋」の力が口だけではなく、全身の健康に影響を与えていることがわかりました。

起きているときは意識して口をつぐんでいるので、鼻から気管支へとつづく気道は開かれています。

ところが、口を閉じる力が弱いと、口を閉じていられずに口呼吸になり、舌の沈下をもたらし、いびきや気道閉塞による窒息(閉塞型睡眠時無呼吸症候群)が生じます。
■口臭
どんなにキレイにオシャレをしてもお口の臭いですべてがだいなしです。 くちびるの力がアップし、口腔内がだ液で潤うようになると、口臭が解消します。
■お顔すっきり
さがってきたあごのラインもきれいにすっきりさせるサポートをします。
顔にはたくさんの表情筋があります。
口輪筋とつながっている表情筋には、大切な役割があります。
この筋肉をきたえて、すっきりした小顔を目指しませんか?
■リハビリ
1 日 4 回のトレーニングでできる在宅リハビリになります。
くちびるをストレッチすると、脳血流が増加し、脳梗塞のリハビリにとても効果が出ます。
ボケの防止にも威力を発揮!








